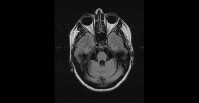
Jan 26, 2007

Olivopontocerebellar atrophy

Olivopontocerebellar atrophy (OPCA)




This is MRI of a 50 year old female with Family history of Olivopontocerebellar atrophy in father. She has been suffering from ataxias and falls for 3 years. On exam demonstrate dysmetric finger to nose and heel to shin, has hypo metric saccades , mild ocular apraxia . There is lack of Bulbar weakness or other parkinsonism features.



















Jan 23, 2007

Bilateral grey matter lesions
















Symmetric Lesions of the Deep Gray Nucl

1 Acute:
•Toxic
•Metabolic
•Hypoxic
•Vascular
•infectious
•unknown

2-Chronic
Develop over months to years.
Heredodegenerative,
Infectious
Indolent metabolic and toxic
Neoplastic
Unknown pathophysiology.
Symmetric Lesions of the Deep Gray Nuclei
Symmetric Lesions of the Deep Gray Nuclei
Neurologic presentations


1-Acute
Manifest as alterations in mental status that include behavioral change, somnolence,and coma.
involuntary movements and seizure

Neurologic presentations (acute)
Seizures, while less common, may be an initial sign.
Seizures occur as a result of associated cortical involvement from the underlying etiology affecting the DGMN.
Neurologic presentations






2-chronic
Chronic conditions produce a more delayed evolution of additional clinical
signs, such as involuntary movements, altered tone (rigidity/cogwheeling), and other Parkinsonian features
History
hypertension
Question about toxic, metabolic, and hypoxic insults
suicide attempt
exposure to neurotoxins that include cyanide, methanol, and carbon monoxide
substance abuse

History
Metabolic disease, can manifest as an acute intoxication with lethargy or seizures and less commonly with focal neurologic deficit.
In each circumstance multiorgan involvement is possible and often acute and catastrophic.
in chronic cases a history related to
nutrition; alcohol use; chronic toxic exposure
brain radiation therapy;
conditions associated with liver disease;
prior streptococcal infection;
HIV infection or risk factors;
family history of :
Stroke,movement disorder
Dementia,neurodegenerative disease

Laboratory Investigations
Acute:
complete blood count
electrolytes investigations
liver and renal function tests, blood
glucose, blood gas
mycoplasma titers,
urine and blood toxicological studies
Laboratory Investigations












Chronic:
Routine blood and urine studies
liver function tests, serum calcium, ceruloplasmin, and parathyroid hormone assay
Testing for HIV and antistreptolysin titers
Testing for methylmalonic acid, skin fibroblast analysis of glutaryl-CoA dehydrogenase, and 24-hour urine collection for copper .
Laboratory Investigations
If considering Prion disease, an EEG and CSF for protein 14-3-3 should be obtained.
Specific clinical examination and genetic tests for neurofibromatosis type 1, Huntington’s disease, Tay-Sachs disease,
and mitochondrial disorders should also be considered.
Neuroimaging


Case :
A 30-year-old man with history of
suacidal attempts was brought to a
local emergency room apneic and
cyanotic and awoke over the next
12 days. After several months he made
a near full recovery with mild residual
dysarthria and athetoid movements of the upper extremities.
A subsequent CT scan showed bilateral symmetric lesions of the globus pallidus

Cyanide poisoning :
most commonly results
from homicide or suicide attempts with death resulting within minutes in 95% of cases. Inhibition of the mitochondrial cytochrome oxidase system, which blocks utilization of oxygen during oxidative phosphorylation, results in cytotoxic hypoxia.

Carbon Monoxide Poisoning
A 28-year-old woman was found unresponsive
in a closed garage with the car running during a suicide
attempt. On arrival to the hospital she was treated
with hyperbaric oxygen, carboxyhemoglobin level
Leigh disease

Abnormalities of respiration are typical of Leigh disease and consist of periodic hyperventilation, apnea, gasping, sighing, and irregular breathing. Respiratory failure in Leigh disease often causes death.
Evaluation should include measurement of serum lactate/pyruvate, CSF lactate, and MRI.
If the diagnosis is in doubt, skin fibroblast studies
Muscle biopsy characteristically does not show ragged-red fibers and is normal

Kearns-Sayre syndrome

the predominant clinical features are found in the central nervous system, skeletal muscle, and heart
obligatory triad of (1) onset before age 20, (2) pigmentary retinopathy, and (3) progressive external ophthalmoplegia.
In addition, at least 1 of the following must be present: (1) cardiac conduction block, (2) cerebrospinal fluid protein greater than 100 mg/dL, or (3) cerebellar ataxia
Kearns-Sayre syndrome
Other clinical manifestations seen in the majority of Kearns-Sayre syndrome patients include short stature, sensorineural hearing loss, impaired intellect, and limb weakness.
Kearns-Sayre syndrome
Elevated lactate and pyruvate
ECG must be performed to screen for heart block.
Lumbar puncture typically shows elevated CSF protein (usually over 100 mg/dL) with or without abnormal numbers of white blood cells.
Oligoclonal bands in the cerebrospinal fluid may be a nonspecific abnormality.
Kearns-Sayre syndrome
Ragged-red fibers on modified Gomori trichrome stain are the hallmark histological feature.

DHE protocol

Decadron 4
Reglan 10
DHE 1

(TEST .5 THE FIVE MINUTE LATER THE REST with base line EKG )

continue 24 h after headache is treated.